심미 솔루션

심미 솔루션

Barun Esthetic Treatment

개인의 안모는 물론, 치아 색상, 형태, 배열까지 조화롭게 디자인한 자연스럽고 균형 잡힌 스마일라인

SCROLL DOWNSCROLL DOWN
바른선택치과

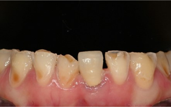
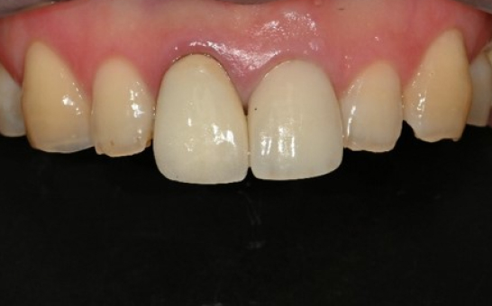
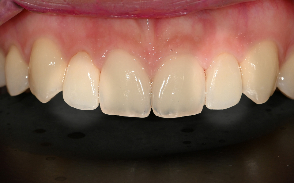
바른선택치과의원 라미네이트

치료 기간 : 2024.06.15~2024.07.07

※ 바른선택치과의원은 의료법을 준수하며 위 케이스는 실제 내원 환자분의 동의하에 공개된 사진과 동일한 환자분께 같은 조건에서 촬영한 사진을 활용했습니다.

개인에 따라 진료 및 치료 방법이 다르게 적용할 수 있으며, 효과와 부작용이 개인마다 다르게 나타날 수 있는 점을 안내해 드리며, 진료 전 전문의료진과 충분한 상담을 권해드립니다.


[라미네이트 주의사항]

1. 일정 기간 불편할 수 있으나, 수일 이내 적응됩니다.

2. 추후 높낮이 조정이 필요할 수 있습니다.

3. 수복 이후 민감한 증상이 지속되거나 심화되면, 추가 조치가 필요할 수 있습니다.

4. 치실이나 치간 칫솔 등으로 청결하게 관리해주셔야 다른 질환으로 이어지지 않습니다.

5. 주기적은 정기 검진이 필요할 수 있습니다.
네이버 예약

Barun Esthetic Treatment

심미 솔루션
건강과 아름다움
을 동시에

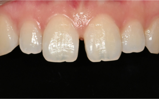
라미네이트 VS 전치부 심미보철

바른선택치과의원은 단순한 치아 보철이 아닌, 조화로운 심미치료를 진행합니다.

치주과 전문의와 치과교정과 전문의가 함께 분석해
치아 배열, 잇몸 라인, 교합까지 잇몸과 치아의 조화를 종합적으로 고려하여
심미성과 기능성을 모두 만족할 수 있는 심미 솔루션을 제공합니다.

라미네이트

/Esthetic Treatment 01/

자연스러운 미소를 위한 가장 빠른 선택
바른선택치과의원 라미네이트

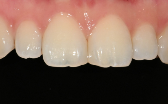
라미네이트란?

라미네이트란?

라미네이트는 치아 표면에 얇은 세라믹을 부착하여
치아의 색상, 모양, 크기를 개선하는 심미 치료로
주로 앞니의 미적 문제를 해결하는 데 사용됩니다.

  • 01얇은 세라믹 소재로 뛰어난 심미성
  • 02피부톤, 치아 색상까지 고려한 자연스러움
  • 03치아 삭제량이 적어 자연치아 보존
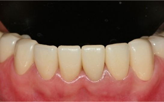
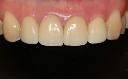
치료 기간 : 2024.07.02~2024.07.28

※ 바른선택치과의원은 의료법을 준수하며 위 케이스는 실제 내원 환자분의 동의하에 공개된 사진과 동일한 환자분께 같은 조건에서 촬영한 사진을 활용했습니다.

개인에 따라 진료 및 치료 방법이 다르게 적용할 수 있으며, 효과와 부작용이 개인마다 다르게 나타날 수 있는 점을 안내해 드리며, 진료 전 전문의료진과 충분한 상담을 권해드립니다.

새로운 라미네이트
바른선택치과

새로운 라미네이트

바른선택치과의원에서 시작되는 - 나의 첫번째 미소

바른선택치과

나에게 꼭 맞는 라미네이트

개인의 스마일라인을 고려한 - 황금비율 라미네이트

나에게 꼭 맞는 라미네이트

Barun Laminate

바른선택치과의원
라미네이트 치료 과정

라미네이트는 단순한 미용 시술이 아니라, 치아 삭제 범위, 맞춤 디자인, 접착 과정까지
정밀하게 계획되어야만 자연스럽고 오래 지속되는 결과를 얻을 수 있습니다.

진단 및 상담

치아 상태를 평가하고
환자 상태에 맞는 자연스러운
심미 치료 계획을 수립합니다.

치아 표면 준비

치아의 앞면을 소량으로
연마해 라미네이트가
부착될 공간을 만듭니다.

임시 라미네이트 부착

최종 제작 전, 임시 라미네이트를 부착해
디자인과 편안함을 확인하고
심미성과 기능을 일시적으로 유지합니다.

최종 라미네이트 부착 및 마무리

디지털 스캔을 통해 맞춤 설계하여
치아와 같은 색상과 형태를 구현한
라미네이트를 제작 후 미세 조정합니다.

/Esthetic Treatment 02/

앞니 복원,
이제는 심미성까지 고려하세요!

전치부 심미보철이란?

전치부 심미보철이란?

전치부 심미보철은 앞니에 특화된 보철 치료로, 깨진 치아,
변색된 치아, 틀어진 치아 등을 보완합니다.
세라믹 크라운이나 브릿지로 자연스러운 심미성과
기능성을 동시에 복원합니다.

  • 01앞니만 가능한 보철 치료
  • 02심미성 & 기능성 동시 해결
  • 03세라믹 크라운으로 깨진 치아 복원
심미보철

전치부 심미보철 치료과정

정밀한 진단 및 계획수립
01

정밀한 진단 및 계획수립

X-ray, 3D CT 스캔으로 치아 손상 정도와
복원 필요성을 고려하여 치료 계획을 수립합니다.

치아 준비 및 인상 채득
02

치아 준비 및 인상 채득

디지털 스캔을 통해 보철물 제작 데이터를 채득하여
복원할 치아를 다듬어 보철물이 부착될 공간을 확보합니다.

임시 보철물 장착
03

임시 보철물 장착

최종 보철물이 제작되는 동안 임시 크라운을
부착해 심미성과 기능 유지합니다.

보철물 제작 및 부착
04

보철물 제작 및 부착

적합성과 교합 상태를 조정하여 완성도 높인 뒤
맞춤 설계한 세라믹 크라운 또는 브릿지를 부착합니다.

치료 후 관리
05

치료 후 관리

보철물의 안정성을 위해 정기적인 검진과
구강 위생 관리로 보철물의 수명을 연장합니다.

보건복지부

치주과 전문의더블보드치과교정과 전문의

공동 진료로 심미성은 물론, 잇몸에 대한 고려까지

치아 배열을 가지런하게 만들어 보철이 필요한 치아 개수를 줄이고, 치아 삭제량을 소량으로 가져갈 수 있습니다.
또한 적절한 교합을 형성해 줌으로써 심미보철의 예후와 유지가 좋아지고 건강하게 오랫동안 사용할 수 있습니다.

바른선택치과 의료진

/Esthetic Treatment 03/

바른선택치과의원 원칙주의
치주과 전문의 진료

치주과 전문의 진료

잇몸 진단, 심미보철의 완성도를 높입니다.

전치부 심미보철은 앞니에 특화된 보철 치료로,
깨진 치아, 변색된 치아, 틀어진 치아 등을 보완 가능하며
세라믹 크라운이나 브릿지로 자연스러운 심미성과
기능성을 동시에 복원합니다.

  • 01치료 전 치주부터 고려하는 심미 분석
  • 02심미성 & 기능성 동시 해결
  • 03교합분석을 함께 진행하는 보철 수복
바른선택치과

바른선택치과의원 실제 환자 전,후 사례

바른선택치과의원 심미치료 실제 사례

바른선택치과의원을 만나, 치아는 물론 삶까지 바뀌신 실제 환자분 전,후 사례를 확인하세요.

CASE 01 정** / 20대
보철 크라운
프로필
웃을 때 마다 치아 때문에 신경쓰여서 제대로 못 웃고,
거울 볼 때 마다 속상했는데 바른선택을 만나서 이제 활짝 웃을 수 있어요!
치료 기간 : 2025.01.12~2025.01.28
CASE 02 정** / 20대
보철 크라운
프로필
웃을 때 마다 치아 때문에 신경쓰여서 제대로 못 웃고,
거울 볼 때 마다 속상했는데 바른선택을 만나서 이제 활짝 웃을 수 있어요!
치료 기간 : 2025.01.15~2025.02.05
CASE 03 정** / 20대
보철 크라운
프로필
웃을 때 마다 치아 때문에 신경쓰여서 제대로 못 웃고,
거울 볼 때 마다 속상했는데 바른선택을 만나서 이제 활짝 웃을 수 있어요!
치료 기간 : 2025.02.18~2025.02.18
이전
다음

※ 바른선택치과의원은 의료법을 준수하며 위 케이스는 실제 내원 환자분의 동의하에 공개된 사진과 동일한 환자분께 같은 조건에서 촬영한 사진을 활용했습니다.
개인에 따라 진료 및 치료 방법이 다르게 적용할 수 있으며, 효과와 부작용이 개인마다 다르게 나타날 수 있는 점을 안내해 드리며, 진료 전 전문의료진과 충분한 상담을 권해드립니다.

[보철치료 주의사항]
1. 일정 기간 불편할 수 있으나, 수일 이내 적응됩니다.
2. 추후 높낮이 조정이 필요할 수 있습니다.
3. 수복 이후 민감한 증상이 지속되거나 심화되면, 추가 조치가 필요할 수 있습니다.
4. 치실이나 치간 칫솔 등으로 청결하게 관리해주셔야 다른 질환으로 이어지지 않습니다.
5. 주기적은 정기 검진이 필요할 수 있습니다.

바른선택치과의원 카카오톡 문의버튼

치주과 전문의의
심미보철 치료

심미성과 건강의 균형

치아와 잇몸의 상태를 동시에 관리하여 치료 결과가
오래 유지되어 심미적 치료와 잇몸 건강의 조화를 이룹니다.

잇몸 상태를 고려한 맞춤 치료

치아 주위의 잇몸 상태를 평가해, 심미 치료가 더 자연스럽고
안정적으로 이루어지도록 설계합니다.

퇴축된 잇몸, 잇몸 이식술로 심미적 개선

잇몸 수술은 매우 예민하고 정밀한 술기를 필요한 수술로서,
치주과 전문의만이 가능한 수술 중 하나입니다.