단순한 치아 배열 교정이 아닌, 기능과 얼굴 균형까지 고려한 1:1 교정 치료
박해지 대표원장은 보건복지부 인증 치과교정과 전문의로
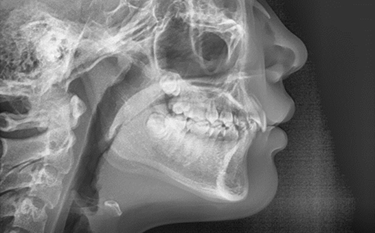
디지털 기반의 시뮬레이션 진단 과정을 통해 치아의 배열, 턱 관절 상태,
교합 상태를 정밀히 분석 후 교정 치료 계획을 수립하여 복잡한 케이스,
어려운 고난도 케이스도 전문적인 교정 치료가 가능합니다.
교정을 시작하는 순간부터, 고민되는 마음을 이해합니다.
자주 바뀌는 담당 주치의, 많은 장치 중 나에게 맞는 교정은 무엇이며 교정 후 결과와 예상 기간까지.
바른선택치과의원은 그 오랜 교정치료라는 길을 친절히 안내드리며 함께 걷겠습니다.
바른선택치과의원은 정교하고 체계적인 교정을 통해 만족도를 제공하고 있습니다.
인비절라인(Invisalign)은 눈에 띄지않게 투명하게 제작된 교정 장치입니다.
치아 상태에 맞게 디지털 장비로 맞춤 설계된 투명 교정 장치를 주기적으로 교체하며 치아를 서서히 이동시키는 방식으로 진행됩니다.
기존의 금속 교정 장치와 달리 뛰어난 심미성으로
티나지 않는 교정을 원하시는 경우 적합하며 탈부착이 가능하여 위생관리가 편안합니다.
바른선택치과의원에서 사용하는 아이테로는 인비절라인치료를 위한 디지털 구강 스캐너로,
기존의 불편한 치아 본뜨기(인상 채득) 없이 3D 디지털 스캔으로 빠르고 정밀한 치아 상태 분석이 가능합니다.
기존의 물리적 본뜨기(알지네이트/실리콘 인상)보다
정확도가 높고, 환자의 불편함이 적습니다.
실시간 3D 데이터 분석을 통해 교정 전/후의
예상 결과를 시각적으로 빠르게 확인이 가능합니다.
단순히 치아 배열만 보는 것이 아니라, 교합 상태, 치아 마모,
교정 필요성까지 정밀 분석이 가능합니다.
치아와 교합 상태를 정밀하게 분석하여
환자에게 맞는 인비절라인 치료 설계가 가능합니다.
오차범위와 불필요한 체득과정을 줄여 빠르고, 정밀하게 스캔 가능한 인비절라인 전용 아이테로 스캔
눈에 띄는 금속 교정이 부담스러운 분
바쁜 일정으로 병원 방문 횟수를 최소화하고 싶은 분
교정 치료 중에도 구강 위생 관리를 철저히 하고 싶은 분
경미한 부정교합이나 심미성을 개선하고 싶은 분

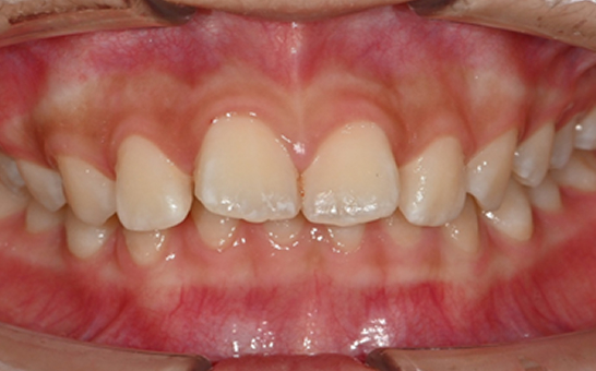
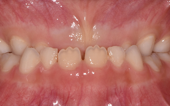
인비절라인 퍼스트(Invisalign First)는 어린이와
성장기 청소년을 위한 투명 교정 장치로, 치아와 턱뼈가
성장하는 과정에 맞춰 설계된 교정 시스템입니다.
해당하는 증상이 있다면 전문의와 상담 후 조기 교정 시
성장기 어린이에게 교합이 틀어지는것을 미리 예방 할 수 있습니다.
영구치가 나오는 과정에서
공간이 부족한 어린이
앞니의 심한 돌출이나
비대칭으로 인한 기능적
문제가 있는 어린이
턱 성장에 맞춰
치아 교정이 필요한 경우
기존 금속 교정 장치가
부담스러운 어린이와 부모님
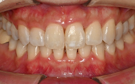
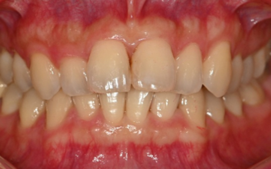
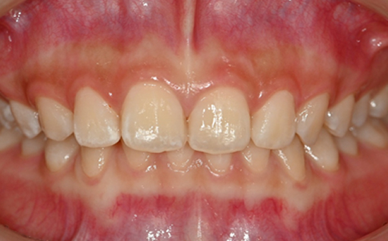
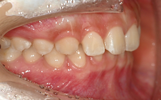
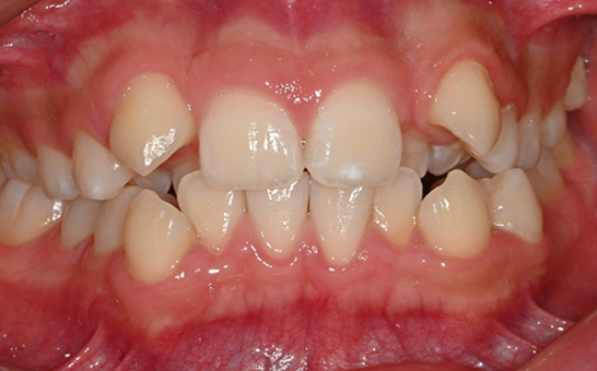
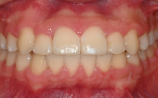
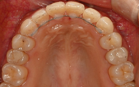
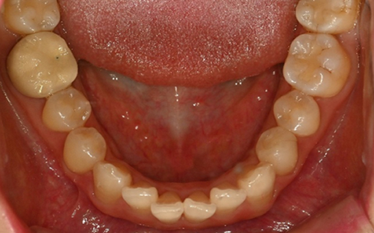
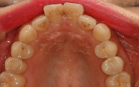
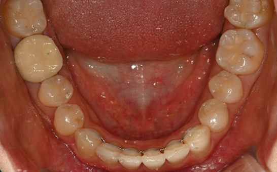
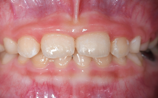
※ 바른선택치과의원은 의료법을 준수하며 위 케이스는 실제 내원 환자분의 동의하에 공개된 사진과 동일한 환자분께 같은 조건에서 촬영한 사진을 활용했습니다.
개인에 따라 진료 및 치료 방법이 다르게 적용할 수 있으며, 효과와 부작용이 개인마다 다르게 나타날 수 있는 점을 안내해 드리며, 진료 전 전문의료진과 충분한 상담을 권해드립니다.
[교정치료 주의사항]
1. 장치 착용 시간은 담당 주치의 소견에 따라주셔야 되며, 임의로 조절하시면 안됩니다.
2. 장치 파절 혹은 분실 시, 재제작이 필요할 수 있습니다.
3. 정기 검진 시 유지장치를 갖고 내원해주셔야 되며, 될 수 있으면 검진 시기를 놓치지 않는게 좋습니다.
4. 장치가 안들어갈 경우, 억지로 끼우지 마시고 내원하시는게 좋습니다.
5. 매일 청결하게 전용 세정제 혹은 주방세제로 닦아주셔야 됩니다.
어디가 불편하신가요? 증상을 선택하시면 해당 페이지로 이동됩니다.